Atlas Interpretation

(Please click to enlarge)
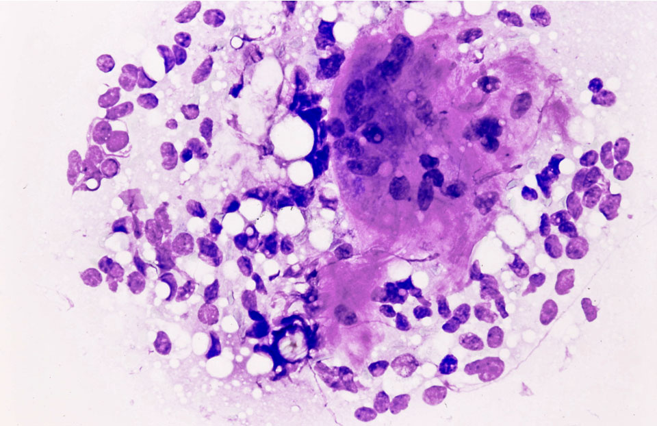
Type of Preparation:
Direct Smear
Magnification:
Intermediate Power Magnificationi
Interpretation:
Fig. 7.12 Malignant: Epithelial-Myoepithelial Carcinoma (EMC)
Cytomorphologic Criteria:
• Cellular aspirate • Arrangement of bland cells in pseudopapillary groups, sheets, and 3-dimensional groups • Laminated, acellular stromal cores • Predominant population of clear myoepithelial cells • Minor population of ductal cells with scant cytoplasm • Background stripped nuclei • Biphasic nature of the tumor is highlighted by immunostaining with HMW kera- tins and myoepithelial markers (P63, smooth muscle actin, calponin)
Explanatory Notes:
This aspirate of epithelial- myoepithelial carcinoma has a prominent biphasic pattern of ductal cells and abundant pale myoepithelial cells as well as focal proteinaceous material. The predominant cell in aspirates of EMC is the myoepithelial cell, which has bland nuclei with open chromatin and an unusually abundant clear or pale cytoplasm. Because of the bland nuclear features, EMC will often be classified as “Neoplasm: SUMP” or as “SM.” The delicate nature of the glycogen-rich cytoplasm results in fragile myoepithelial cells and frequent background stripped nuclei. Given the abundant clear cells in EMC, other tumors with clear cell features such as metastatic renal cell carcinoma (RCC) could also be considered; however, RCC lacks the biphasic pattern and has a distinct immunopro le. Similarly, clear cell carcinoma which occurs primarily in the minor salivary glands also lacks the bipha- sic pattern of EMC and harbors a EWSR1-ATF1 translocation. Careful correlation with clinical history coupled with judicious use of immunochemical markers could aid in the diagnosis of EMC.