Atlas Interpretation

(Please click to enlarge)
Type of Preparation:
Direct Smear
Magnification:
Intermediate Power Magnification
Clinical History:
34-year old male with left facial mass
Interpretation:
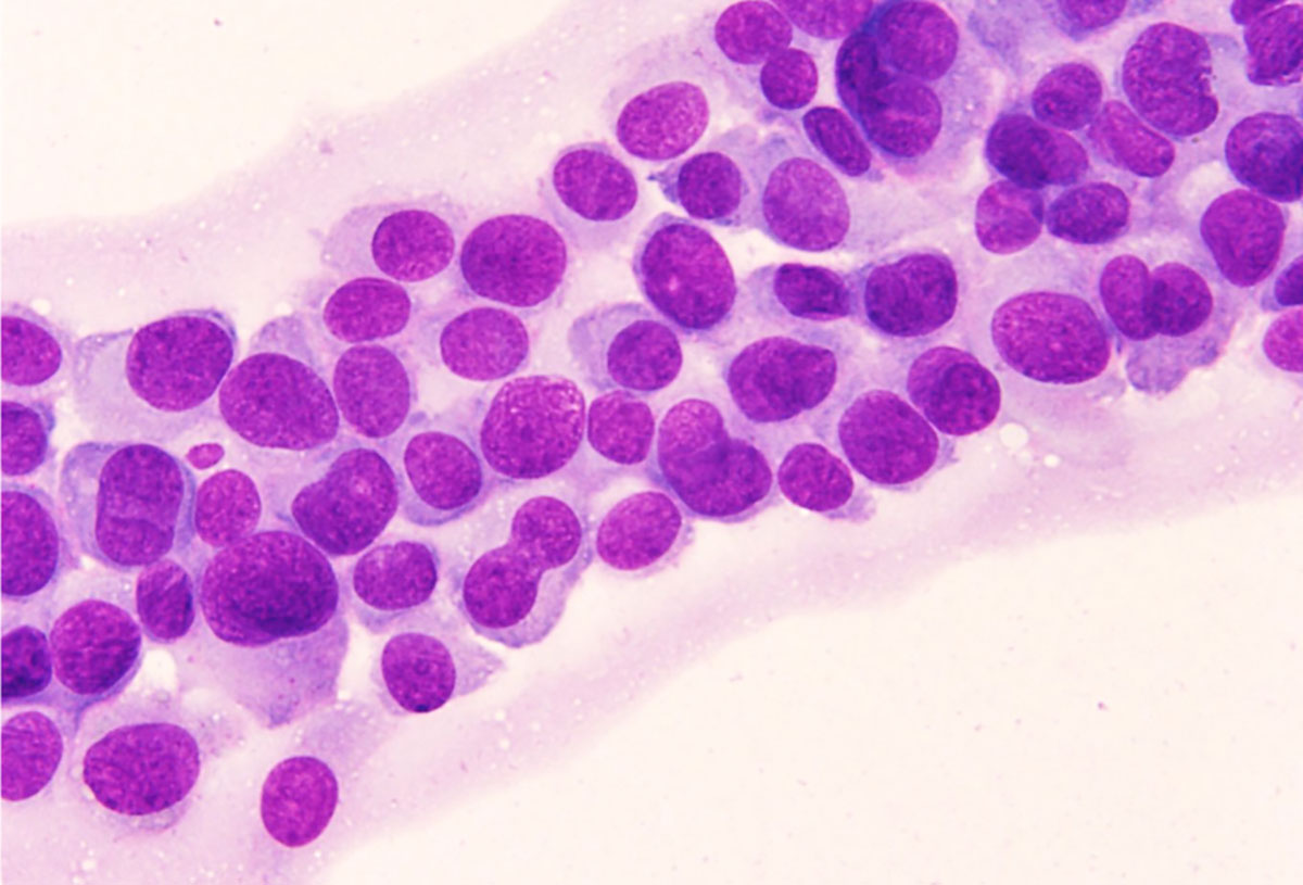
Fig. 5.2a Neoplasm: SUMP
Cytomorphologic Criteria:
Cellular aspirate; neoplastic cells: oncocytic or oncocytoid features that cannot be classified further. The usual criteria for a pleomorphic adenoma are as follows: • Distinctive chondromyxoid matrix: Best appreciated using Romanowsky stains (Diff-Quik®, Giemsa), as a bright magenta matrix with a distinct fibrillary/feathery quality; grey to translucent green in Papanicolaou-stained preparations • Myoepithelial cells: Variety of shapes (polygonal, plasmacytoid, round, spindle, and clear), bland nuclear features, often the predominant cell type (Fig. 5.2) • Ductal epithelial cells: Bland nuclear features, small groups recapitulating ductal structures • Iconic PA:Modestly cellular with readily identifiable, abundant fibrillar matrix, bland ductal epithelial and myoepithelial cells
Explanatory Notes:
FNA of cellular oncocytic/oncocytoid neoplasm showing loose groups and dispersed neoplastic cells with bland oncocytic features. This actually was an FNA of a pleomorphic adenoma with highly cellular matrix-poor tumor with a predominance of oncocytoid appearing cells,

MIRST Statistics (please Click to enlarge)