Atlas Interpretation

(Please click to enlarge)
Type of Preparation:
Direct Smear
Magnification:
High Power Magnification
Clinical History:
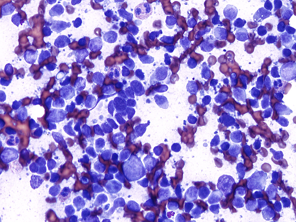
26-year old male with painful left parotid, FNA sample awaiting flow cytometry results
Interpretation:
Fig. 4.8 Atypia of Undetermined Significance (AUS)
Cytomorphologic Criteria:
• Reactive and reparative atypia indefinite for a neoplasm (Fig. 4.1) • Squamous, oncocytic, or other metaplastic changes indefinite for a neoplasm • Low cellularity specimens suggestive of, but not diagnostic of a neoplasm • Specimens with preparation artifacts hampering distinction between a nonneoplastic and neoplastic process • Mucinous cystic lesions with an absent or very scant epithelial component • Salivary gland lymph nodes or lymphoid lesions that are indefinite for a lymphoproliferative disorder
Explanatory Notes:
Mixed population of lymphocytes with background lymphoglandular bodies and increased numbers of larger lymphocytes. A lymphoma cannot be excluded, particularly in the absence of flow cytometry.

MIRST Statistics (please Click to enlarge)